Bone Cancer - Sign and Symptoms
Definition of Bone-Bone
Your body has 206 bones. These bones serve a variety of different functions. First, your bones provide structure to your body and helps provide shape. The muscles attached to bones and allow you to move. Without the bones, your body will become a heap of soft tissues without structure, and you will not be able to stand, walk, or move. Second, the bones help to protect the organs of the body more vulnerable. For example, the bones of the skull protects the brain, vertebrae of the spine (spine) to protect the spinal cord (spinal cord), and the ribs protect the heart and lungs. Third, the bones contain bone marrow (bone marrow), which create and save new blood cells. Finally, the bones of your body to help control the collection of a variety of proteins and nutrients including calcium and phosphorus.
What is cancer?
Your body is made up of many tiny structures called cells. There are many different types of cells that grow to form different parts of your body. During normal growth and development, these cells continuously grow, divide, and create new cells. This process continues throughout life even after you are no longer growing. The cells continue to divide and create new cells to replace cells that are old and damaged. In a healthy person, the body is able to control the growth and division of cells according to the necessities of the body. Cancer is when these normal control of cells lost and cells begin to grow and divide out of control. The cells also become abnormal and have altered functions in patients with cancer.
There are many different types of cancer. Cancer is usually named based on the type of cell that is affected. For example, lung cancer is caused by cells that form beyond the control of the lung, and breast cancer by the cells that make up the breast. A tumor is a collection (collection) of abnormal cells that accumulate together. However, not all tumors are cancerous. A tumor can be benign (not cancerous) or malignant (cancerous). Benign tumors are usually less dangerous and are not able to spread to other parts of the body. Malignant tumors are usually more serious and can spread to other areas in the body. The ability of cancer cells to leave their initial location and move to another location in the body is called metastasis. Metastases can occur with cancer cells enter the bloodstream or lymphatic system of the body (lymphatic system) to walk to other places in the body. When cancer cells metastasize to other parts of the body, they are still called with the type of origin of the abnormal cells. For example, if a group of breast cells become cancerous and diseased metastasize to the bones, it is called metastatic breast cancer. Many different types of cancer are able to metastasize to the bones. Types of cancer most commonly spreads to the bones is the lung, breast, prostate, thyroid, and kidney. Most times, when people have cancer in their bones, it is caused by cancer that has spread from elsewhere in the body to the bones. It is less common to have an original bone cancer, a cancer arising from cells that make bone. It is important to determine whether the cancer in the bone is from somewhere else or from a cancer of the bone cells. The treatments for cancers that metastasize to bone is based on early type of cancer.
Definition of Bone Cancer
Bone cancer is caused by a problem with the cells that make bone. More than 2,000 people are diagnosed in the United States each year with a bone tumor. Bone tumors occur most commonly in children and adolescents and are less common in adults older. Cancer involving bone in adults, older adults are most commonly the result of metastatic spread from another tumor.
There are many different types of bone cancer. Bone tumors are most common, including osteosarcoma, Ewing's sarcoma, chondrosarcoma, malignant fibrous histiocytoma, fibrosarcoma, and Chordoma.
* Osteosarcoma is a primary malignant bone cancer the most common. It most commonly affects men between the ages of 10 and 25 years, much less common but can affect adults who are older. It often occurs in long bones of the arms and legs in areas of rapid growth around the knees and the shoulders (shoulders) of the children. This type of cancer is often very aggressive with the risk of spread to the lungs. Figures of the five-year survival is approximately 65%.
* Ewing's sarcoma is the most aggressive bone tumors and affects people younger aged between 4-15 years of age. It is more common in males and is very rare in people aged over 30 years. It most commonly occurs in the middle of the long bones of the arms and legs. Three-year survival rate is approximately 65%, but this rate is much lower if there had spread to the lungs or other tissues of the body.
* Chondrosarcoma is the most common bone tumor and is responsible both in approximately 25% of all bone tumors are malignant. These tumors arise from cells of cartilage (cartilage cells) and can grow very aggressively or relatively slowly. Unlike many other bone tumors, chondrosarcoma is most common in people aged over 40 years. It is slightly more common in men and can potentially spread to the lungs and lymph nodes. Chondrosracoma most commonly affects the bones of the pelvis and hips. Five-year survival for the aggressive form is approximately 30%, but the survival rate for tumors that grow slowly is 90%.
* Malignant fibrous histiocytoma (MFH) affects the soft tissues including muscle, ligaments, tendons, and fat. He is soft-tissue malignancy most common in later adult life, usually occur in people aged 50-60 years. It most commonly affects the limbs (legs and hands) and is approximately two times more common in men than women. MFH also has a wide limit of severity. Overall survival rate is approximately 35% -60%.
* Fibrosarcoma is much more rare than other bone tumors. It is most common in people aged 35-55 years. It most commonly affects the soft tissues of the leg behind the knee. It is slightly more common in men than women.
* Chordoma is a very rare tumor with an average survival of approximately six years after diagnosis. It occurs in adults over the age of 30 years and approximately two times more common in men than women. It most commonly affects the spinal column (spinal column) the lower end or upper end.
In addition to bone cancer, there are various types of bone tumors are benign. These include osteoid osteoma, osteoblastoma, osteochondroma, enchondroma, chondromyxoid fibroma, and giant cell tumors (which have the potential to become malignant). As with other types of benign tumors, these are not cancerous.
There are two other types of relatively common cancer that develops in the bones: lymphoma and multiple myeloma. Lymphoma, a cancer arising from cells of the immune system, usually starting in the lymph nodes but can begin in the bone. Multiple myeloma begins in the bones, but he is not usually considered a bone tumor because it is a tumor of the bone marrow cells instead of bone cells.
Bone Cancer Symptoms
The most common symptom of bone tumors is pain. In most cases, the symptoms become gradually more severe with time. At first, the pain may be present only at night or with activity. Depending on the growth of tumors, those affected may have symptoms for weeks, months, or years before seeking medical advice. In some cases, a mass or lump may be felt in the bones or in the tissues surrounding the bone. It is most common with MFH or fibrosarcoma but can occur with other bone tumors. The bones may be weakened by the tumor and lead to a fracture after a trauma (injuries) are minor or no trauma or just from standing on the affected bone. Fever, chills, night sweats, and weight loss can occur but are much less common. These symptoms are more common after the tumor has spread to other tissues in the body.
The first thing your doctor will do is take a complete medical history. This will give your doctor clues as to your diagnosis. Several types of cancer is common in people if they have family members nearby who have had the cancer type. A description (description) of your symptoms can help your doctor identify the possibility of bone cancer from other causes are possible. Next, a complete physical examination can help find the cause of your symptoms. This may include testing the strength of your muscles, feeling the touch, and reflexes. Certain blood tests may be ordered that can help identify a possible cancer.
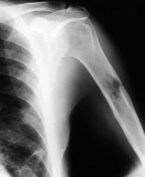
Next, your doctor will likely order some imaging studies (imaging). X-rays are often ordered first. In some cases, if cancer is identified very early it might not show up on plain x-rays. The appearance of a tumor on x-rays can help determine the type of cancer and whether it is benign or malignant. Benign tumors are more likely to have an edge (boundary) is smooth where malignant tumors are more likely to have a ragged edge. This is because benign tumors typically grow more slowly and the bone has time to try to surround the tumor with normal bone. Malignant tumors are more likely to grow more quickly, not giving the normal bone a chance to surround the tumor.
A CT scan (CAT scan or computed tomography) is a more advanced tests that can provide a cross sectional picture of your bones. This test provides very good detail of your bones and is better able to identify a possible tumor. He also provides additional information on the size and location of the tumor.
An MRI (magnetic resonance imaging) is another advanced tests that can also provide cross sectional images of your body. MRI provides better detail of soft tissues including muscles, tendons, ligaments, nerves and blood vessels rather than a CT scan. This test can provide better detail on whether or not the tumor has broken through the bone and bone involving the soft tissues surrounding it.
A bone scan is a test that identifies areas of bone that grows or changes shape rapidly. Bone scans are often taken from the entire body. This test may be ordered to see if there are any other areas of bone involvement throughout the body.
If a tumor is identified, your doctor will use all information from history and physical examination along with laboratory studies and imaging to put together a list of possible causes (differential diagnosis).
Your doctor may then obtain a biopsy sample of the tumor. This involves taking a small sample of the tumor that can be tested in the laboratory to determine the type of tumor. Biopsies can be obtained through a small needle (needle biopsy) or through a small incision (incisional biopsy).
There are many different methods are available for your doctor to treat bone cancer. The best treatment is based on the type of bone cancer, the location of the cancer, how aggressive the cancer, and whether or not the cancer invades the surrounding tissues or distant (metastasized). There are three main types of treatment for bone cancer: surgery, chemotherapy, and radiation therapy. This can be used individually or combined with each other.
Surgery is often used to treat bone cancer. The goal of surgery is usually to remove the entire tumor and a surrounding area of normal bone. After the tumor is removed, a pathologist (pathologist) test to determine whether there is a completely normal bone surrounding the tumor. If a portion of the cancer left behind, he can continue to grow and spread, requiring further treatment. Historically, amputation, amputation is often used to remove bone cancer. Newer techniques have reduced the need for amputation. In many cases, the tumor can be removed with a rim (rim) of normal bone without the need for an amputation. Depending on the amount of bone removed, the surgeon will replace something on their location. For areas smaller, this is probably the bone cement (bone cement) or a bone graft (bone graft) from somewhere else your body or from the bone bank. For areas larger, the surgeon may place the graft-graft greater than the bank bone or metal implants. Some of the metal implants is the possession of the ability to elongate when used in children who are growing.
You may be referred to a medical cancer specialist (oncologist) to chemotherapy. It is the use of various medications used to try stop the growth of cancer cells. Chemotherapy can be used before surgery to try to shrink the tumors of bone to make the surgery easier. He can also be used after surgery to try to kill cancer cells remaining after surgery left.
You may also be referred to a specialist radiation for cancer radiation therapy. Radiation therapy uses high-powered x-rays directed at the site of the cancer to try to kill cancer cells. This treatment is administered in small doses every day over a period of time from days to months.
Side effects Bone Cancer Treatment
Unfortunately, there are risks and side effects with each treatment for bone cancer. The main risks associated with surgery include infection, recurrence of cancer, and injury to surrounding tissues. In order to remove the entire cancer and reduce the risk of recurrence, some surrounding normal tissue should also be removed. Depending on the location of the cancer, this may require removal of portions of bones, muscles, nerves, or blood vessels. This can cause weakness, loss of sensation, and the risk of broken bones or fractures of the bones remained. You can be referred to a specialist rehabilitation for physical and occupational therapy after surgery to try to improve your strength and function.
Chemotherapy uses drugs that are very strong to try to kill cancer cells. Unfortunately, some normal cells are also killed in the process. The drugs are designed to kill cells that are dividing or growing rapidly. Normal cells that are affected often include hair, blood-forming cells, and cells lining the digestive system. Side effects include nausea and vomiting, hair loss, infections, and fatigue. Fortunately, these side effects usually disappear after chemotherapy is completed. Good nutrition is essential for your body to fight cancer. You may be referred to a nutritionist to help with this, especially if you experience nausea and loss of appetite.
The main side effects from radiation therapy include fatigue, loss of appetite, and damage to the skin and soft tissues around it. Previous radiation therapy may also increase the risk of injury problems of operating in the same area.
There have been many recent advances in the understanding and treatment of bone cancer. This has led to more focused radiation therapy to reduce the person is at risk in the surrounding tissues, combination of chemotherapy better with risks and side effects are fewer, and treatment options that have been repaired, including a rescue operation member body, which reduces the need for amputation.
Right now a lot of work being done on each of these areas and so are investigations on the causes of cancer-causes. It is hoped that a better understanding of the specific causes of cancer will lead to gene therapy techniques to target specific cancer cells with limited risk on other normal cells.










![Validate my Atom 1.0 feed [Valid Atom 1.0]](valid-atom.png)

